Um artigo publicado no periódico BMJ Case Reports divulgado na sexta-feira (1), contou o caso de um homem de 30 anos do Reino Unido, que rompeu a traqueia após segurar um espirro.
O paciente, que não foi identificado para evitar constrangimentos, tinha histórico de crises alérgicas. Ele dirigia quando sentiu uma vontade súbita de espirrar. Em vez de liberar os espirros, ele apertou o nariz com os dedos e a pressão causou um rasgo na traqueia, na altura do pescoço.
O paciente usava cinto de segurança, o que pode ter influenciado na compressão de seus órgãos respiratórios.
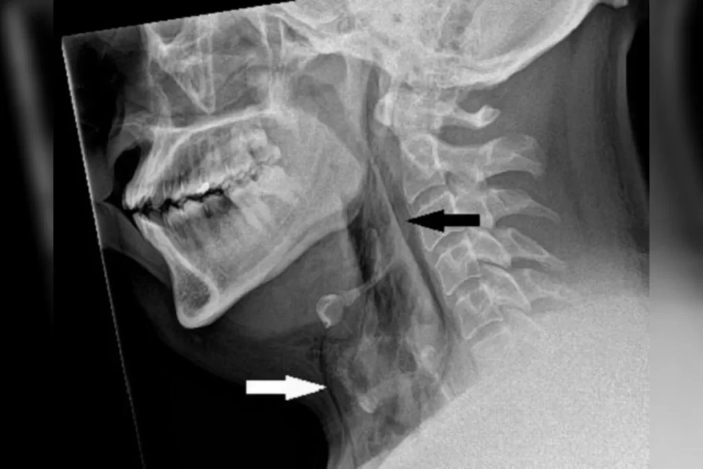
Sentindo fortes dores no peito, o paciente se dirigiu ao hospital para atendimento de emergência. A ruptura na traqueia foi revelada por exames de imagem e tinha uma área de cerca de quatro milímetros quadrados.
“É raro, mas o acúmulo rápido de pressão na traqueia ao espirrar com o nariz apertado e a boca fechada ocasionou um rasgo traqueal, conforme os exames realizados no hospital de Dundee mostram”,
destaca o texto da equipe médica.
Segundo o artigo, as capacidades respiratória e cardíaca do paciente estavam normais, o que motivou os médicos a desconsiderarem uma intervenção cirúrgica.
“No entanto, ele foi mantido internado por 48h enquanto recebia remédios para dor e alergia. Nenhum antibiótico foi administrado e ele não necessitou de oxigenioterapia. A observação era apenas uma precaução, e dois dias depois o paciente recebeu alta para continuar o tratamento em casa”,
explicaram os autores do relato médico.
Após cinco semanas, ele realizou uma nova tomografia computadorizada, que apontou a cicatrização completa do rasgo provocado pelo espirro interrompido. O paciente não apresentou sequelas, mas foi alertado dos riscos de repetir a ação.
“Todos devem ser orientados a não conter espirros com o nariz apertado enquanto mantêm a boca fechada, pois isso pode resultar em perfuração da traqueia”,
alertaram os autores do caso.
Segurar espirro
A principal intenção do espirro é eliminar secreções e agentes agressores ao corpo. Ao segurar um espirro, toda a pressão gerada pelo fluxo de ar de alta velocidade que deveria ser expelido é travada e internalizada no corpo, aumentando a pressão intracraniana.
A pressão pode ser forte o suficiente para gerar um Acidente Vascular Cerebral (AVC) e, se a pessoa tiver alguma veia ou artéria mais frágil, como um aneurisma cerebral ou malformação vascular, o ato de segurar o espirro pode ser ainda mais prejudicial à saúde do corpo. O rompimento dos vasos é uma situação rara, mas pode acontecer.
*Com informações do Metrópoles
Leia mais
Rosto de GKay fica deformado após reação alérgica
Paciente com asma mantém acompanhamento contínuo em Manaus
Fumaça de queimadas deixa ar de Manaus entre os três piores do mundo
